Naši Rezultati
Preobrazbe
Pred in Potem
Restavriranje zob pred in po
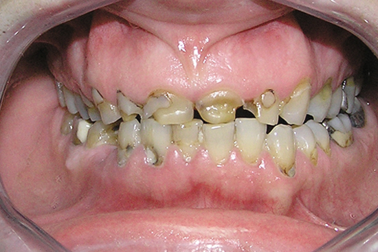
Primer 001
Nadomestitev Zoba v Lateralnem Območju
Pred: Karies in izguba zob
Po: Zapolnitev koreninskih kanalov in ohranitev zob s kompozitno zalivko ter nadomestitev izločenih zob z implantati v zgornji čeljusti

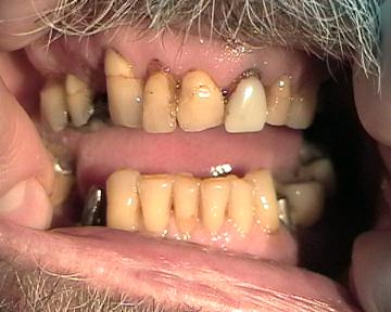
Primer 002
Ohranjanje in Rehabilitacija Zob s Fiksno Protetiko
Pred: abrazivni in kariozni zobje
Nato: zobje konzervirani in fiksirani s fiksno protetiko (keramična krona)

Primer 003
Vsaditev Dveh Vsadkov
Pred: po 4 mesecih sta bila vsadka polna in pripravljena za keramično krono
Po vsem: dokončano delo (cirkonska krema)

Primer 004
Ohranjanje in Obnavljanje Zob
Pred: rotirani zobje (zunaj zobnega loka), kariozni zobje
Nato: zobje konzervirani in obnovljeni s fiksno protetiko (kovinsko keramična krona)

Naši Rezultati
Poskrbimo za
Zdravje Zob
Vstopite v svet, v katerem se vrhunska tehnologija srečuje s strokovnim znanjem naših zobozdravnikov. Naša klinika je zatočišče za tiste, ki ne iščejo le rutinske zobozdravstvene oskrbe, temveč preobrazbeno izkušnjo. Od rutinskih pregledov do naprednih kozmetičnih posegov – specializirani smo za široko paleto zobozdravstvenih storitev, ki so vse namenjene temu, da iz vašega nasmeha izvabijo najboljše.
